据《纽约时报》报道,世界各地的神经学家认为,CoViD-19病毒患者会受到严重的脑损伤。
前不久,美国亨利福特医院(Henry Ford Hospital, HFH)接收了一位58岁的病人。他有咳嗽和发烧症状,但同时还有意识混乱、萎靡不振和迷失方向等现象。医生对她进行了包括流感和水痘在内的多项测试,结果均呈阴性。另外,医生对其进行了脑脊液成分诊断,也没有发现细菌感染的迹象。
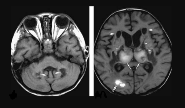
当时,医生也进行了CoViD-19测试,结果呈阳性。但病人身上出现的是新冠病毒疫情下的非典型症状,于是决定对其进行CT检查。扫描显示,病人大脑中负责记忆和传递信号的部分受损。结果,医生确诊,病人患上了急性坏死性脑病(acute necrotizing encephalopathy,ANE)。这是一种罕见的、严重的、经常会致命的疾病,在发生病毒性感染时就会发生。医生们都认为,罪魁祸首就是CoViD-19病毒。
3月初,佛罗里达的一家医院收治了一名74岁的新冠病毒患者,他丧失了说话能力,并伴有痉挛症状发作。



京公网安备11010502053235号